
ADIEU COMPLEXES, BONJOUR SOURIRE PARFAIT !
Une solution pour adultes et enfants
Axée sur la discrétion
Et tout aussi efficace que des bagues métalliques !
Des questions ? C'est par ici ! 👇

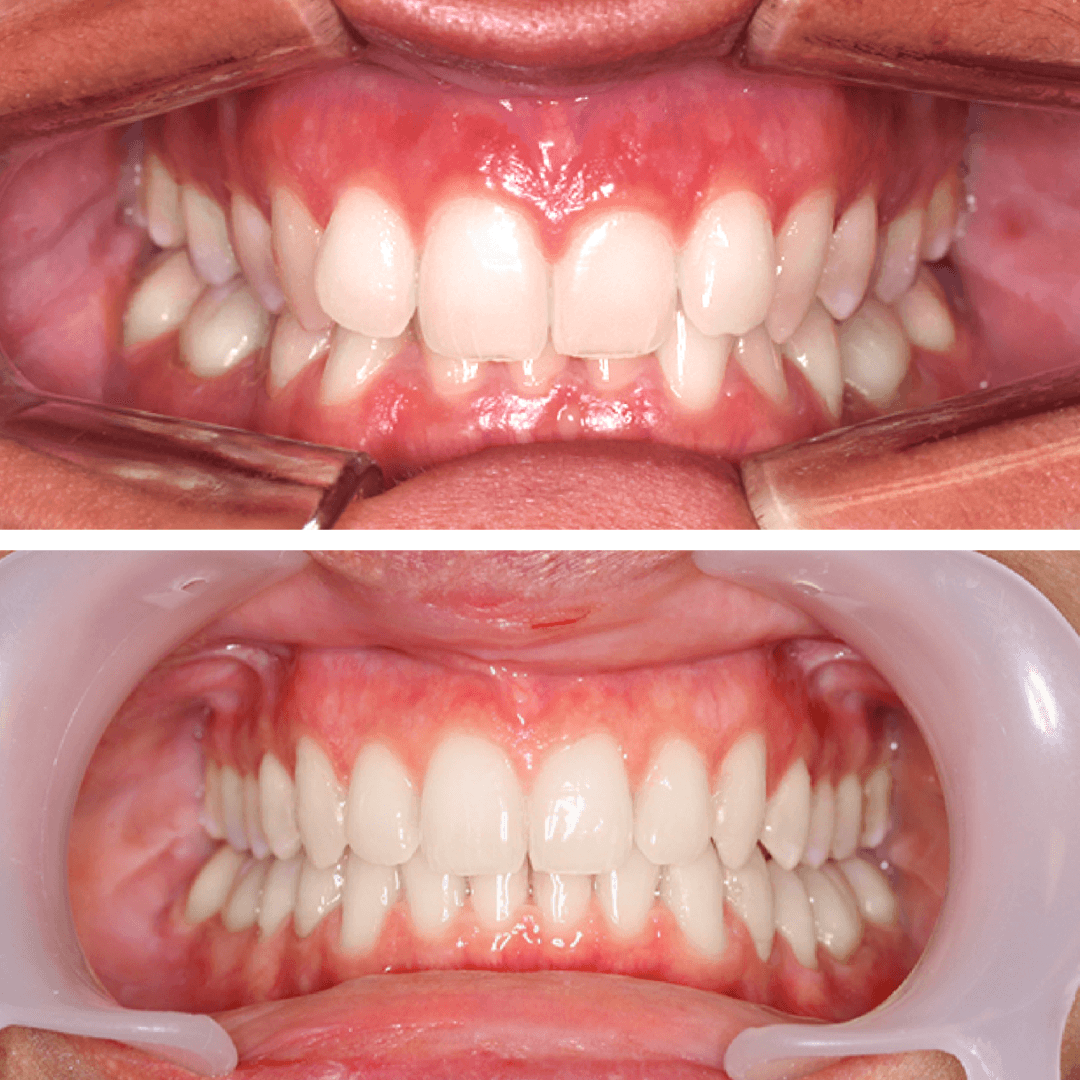
Corrigez votre sourire… sans changer votre quotidien !
Vous rêvez d’un sourire aligné, mais l’idée de porter des bagues pendant des mois (ou des années) vous freine ? Vous n’êtes pas seul !
Aujourd’hui, il existe une alternative discrète, sans fils ni brackets apparents.
Plus besoin de cacher votre sourire ou d’adapter votre quotidien à un traitement visible. Imaginez un moyen d’aligner vos dents sans que personne ne s’en rende compte, tout en gardant un confort optimal.
L’orthodontie a évolué, et avec elle, une nouvelle façon de transformer votre sourire en toute liberté.

Les aligneurs dentaires :l'innovation qui sonne la fin des bagues métalliques !
Un sourire aligné, sans compromis sur l'esthétique et le confort
Quasiment invisibles à l'œil nu.
Pas de métal ni de fils irritants.
Possibilité de retirer les aligneurs pour manger.
Simulation 3D du sourire final avant le début du traitement.
Possibilité d'aligner uniquement les dents du haut/bas.
Idéal pour les adultes et les adolescents.
Plus de 18 millions de patients traités dans le monde.
Un mécanisme simple, avec une efficacité sûre et prouvée !
Contrairement aux bagues métalliques qui restent fixées sur les dents, cette méthode repose sur une série de gouttières transparentes et sur-mesure, appelées aligneurs.
Chaque aligneur exerce une pression douce et progressive pour déplacer les dents étape par étape. Toutes les 1 à 2 semaines, vous passez à un nouvel aligneur, permettant à votre sourire d’évoluer sans douleur excessive.
Le grand avantage ? Pas de fils à resserrer, pas de rendez-vous constants pour des ajustements.
Vous suivez simplement votre programme avec des contrôles réguliers pour assurer l’évolution du traitement.
Et comme ces aligneurs sont amovibles, vous pouvez les retirer pour manger, boire ou vous brosser les dents, sans les contraintes d’un appareil classique.


Besoin de plus de renseignements ?
Envoyez-nous un message en 3 clics !
Ou nous appelez nous au 050 603 75 31
LA QUESTION QUE TOUT LE MONDE SE POSE...
« Mais pourquoi continuer d'utiliser des bagues métalliques ? »
Lorsqu’une nouvelle technologie apparaît, il faut du temps pour que tout le monde l’adopte. Pourtant, plus de 18 millions de personnes ont déjà choisi cette méthode discrète et efficace pour aligner leurs dents.
Vous en avez probablement croisé sans même le savoir et c’est bien là toute la force de cette solution : elle est invisible au quotidien !
Alors, pourquoi certains portent encore des bagues métalliques ? Par habitude, tout simplement !
Pendant des décennies, elles étaient la seule option disponible. Beaucoup de professionnels, formés aux bagues métalliques, continuent de la proposer en priorité.
Pourtant, les résultats sont tout aussi efficaces, sans les inconvénients des fils et brackets.

Ils ont mis fin à un complexe et ne le regrettent pas !







Des experts français, implantés à Tel-Aviv & Netanya
Hymy Smile est un cabinet dentaire français dévoué à la correction des alignements dentaires pour les enfants et les adultes.
Forts de notre expérience et de notre savoir-faire acquis en France, où nous avons obtenu le prestigieux label DIAMOND INVISALIGN, nous vous proposons des solutions modernes et digitales telles que les aligneurs Invisalign.
Notre objectif est de résoudre efficacement les problèmes tels que les dents chevauchées et les espaces entre les dents, pour améliorer votre quotidien et vous redonner l'envie de sourire.
Encore une question avant de vous lancer ?
Consultez nos réponses à vos questions les plus fréquentes !
UTILISATION QUOTIDIENNE
Le traitement commence par un rendez-vous avec un professionnel qui analysera votre dentition et réalisera un scan 3D. Ensuite, vous recevrez une série d’aligneurs transparents à porter selon un programme précis. Chaque jeu d’aligneurs est conçu pour déplacer progressivement vos dents jusqu'à obtenir le sourire souhaité.
Oui, ils sont fabriqués en plastique transparent et s’adaptent parfaitement aux dents, ce qui les rend quasiment invisibles dans la vie quotidienne.
Oui, la plupart des patients s’adaptent en quelques jours. Au début, une légère gêne peut apparaître, mais elle disparaît rapidement à mesure que vous vous habituez aux aligneurs.
Pour des résultats optimaux, il est recommandé de les porter 22 heures par jour, en ne les retirant que pour manger, boire autre chose que de l’eau, et se brosser les dents.
TECHNOLOGIE ET EFFICACITÉ
Les aligneurs sont fabriqués à partir d’une technologie brevetée appelée SmartTrack®, qui applique une pression douce et contrôlée pour déplacer les dents progressivement. Chaque série d’aligneurs est conçue spécifiquement pour votre dentition.
La durée varie selon la complexité du cas, mais elle se situe généralement entre 6 et 24 mois. Lors de votre premier rendez-vous, votre praticien pourra vous donner une estimation plus précise.
Oui, Invisalign est efficace pour corriger de nombreux problèmes orthodontiques comme les chevauchements, les espaces entre les dents et les malocclusions. Pour des cas très complexes, un autre traitement peut être recommandé par votre orthodontiste.
HYGIÈNE ET ENTRETIEN
Il suffit de les rincer à l’eau tiède et de les brosser doucement avec une brosse à dents souple. Il est également recommandé d’utiliser des cristaux de nettoyage Invisalign ou des pastilles effervescentes pour éviter l’accumulation de bactéries.
Non, il faut toujours les retirer avant de manger pour éviter de les endommager. Vous pouvez boire de l’eau avec les aligneurs, mais pour toute autre boisson (café, soda, thé, etc.), il est conseillé de les enlever pour éviter les taches et la déformation des aligneurs.
Le tabac peut tacher et abîmer les aligneurs, il est donc fortement déconseillé de fumer avec les aligneurs.
PRÊT(E) POUR UN SOURIRE RAYONNANT ?
Obtenez une visualisation offerte de votre sourire post-aligneurs
Et profitez de notre offre à partir de 400₪/mois !
Des questions ? C'est par ici ! 👇
